February is the month of love, and while we often think about flowers and chocolates, there is one thing you carry with you every single day that deserves some extra affection: your smile. At Creekside Orthodontics in Vacaville, we believe that a beautiful smile is more than just a cosmetic asset. Whether you’re a parent considering orthodontic treatment for your teen or an adult finally ready to invest in yourself, the journey to alignment is a journey toward better health and unshakable self-confidence.

In this post, we’re diving into why “loving your smile” is one of the best health decisions you can make this year.

 

More Than a Pretty Face: The Health Link

Many of our Vacaville neighbors are surprised to learn that orthodontic treatment is a pillar of preventative healthcare. When teeth are crowded, gapped, or misaligned, they create “hiding spots” for plaque and bacteria that even the most diligent brushing can’t reach.

The functional benefits of alignment include:

  • Reduced Risk of Decay & Gum Disease: Straight teeth are easier to brush and floss. By removing those tight, overlapping spaces, you significantly lower your risk of periodontal disease, which has been linked to systemic issues like heart disease and diabetes.
  • Better Digestion: Digestion begins in the mouth. A misaligned bite (malocclusion) can prevent you from properly chewing your food, putting extra strain on your digestive system.
  • TMJ Relief: If you suffer from frequent headaches or jaw pain, your bite might be the culprit. Proper alignment reduces the stress on your jaw joints and facial muscles.
  • Clearer Speech: Our teeth play a vital role in how we form sounds. Correcting a “tongue thrust” or severe overbite can often lead to clearer, more confident speech.

 

The Confidence Connection: Why a Smile Matters

Have you ever caught yourself covering your mouth when you laugh? Or perhaps you’re the “closed-mouth” person in every family photo at Lagoon Valley Park?

Research shows that the act of smiling releases endorphins and reduces stress. When you are self-conscious about your teeth, you tend to smile less, which can subconsciously affect your mood and how others perceive your approachable nature.

At Creekside Orthodontics, we’ve seen 14-year-olds walk into our office with their heads down and leave two years later with their heads held high, ready to take on high school with a new sense of self. We’ve seen adults in their 40s and 50s gain the confidence to pursue promotions or re-enter the dating scene because they finally feel proud of their reflection.

 

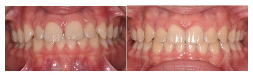
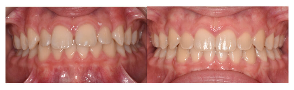
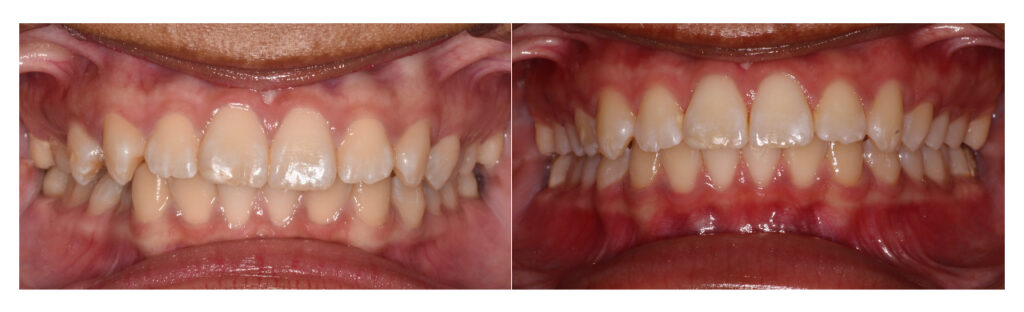
Real Transformations at Creekside

Our owner, Dr. R. Scott Anderson, has been perfecting smiles in the area since 1989. With specialized training in jaw function and facial aesthetics, he doesn’t just “straighten teeth”—he builds functional, healthy foundations.

A Tale of Two Smiles:

  • The Teen Transformation: One of our young patients struggled with severe crowding that made him reluctant to speak in class. Using a customized plan with traditional self-ligating braces, we were able to widen his arch and create a broad, healthy smile. Today, he’s a lead in the school play.
  • The Professional Edge: An adult patient in Vacaville wanted a more professional look but didn’t want the “metal look” in board meetings. We used Invisalign® and Spark® clear aligners to discreetly correct her crossbite. Not only did her jaw pain disappear, but her confidence in presentations skyrocketed.

 

Modern Technology for the Modern Vacaville Family

Gone are the days of goopy impressions and “one-size-fits-all” braces. We utilize state-of-the-art tools to make your journey faster and more comfortable:

  • iTero™ Digital Scanning: No more messy molds. We take a precise 3D map of your mouth in minutes.
  • i-CAT™ 3D Imaging: This allows Dr. Anderson to see your jaw and tooth roots in high definition for safer, more accurate planning.
  • SureSmile® Technology: We use computer-aided planning to ensure your treatment is as efficient as possible, often shortening the time you spend in braces.

 

Take the First Step This February

This month, give yourself the gift of a smile you love. Whether you’re interested in Invisalign, Spark Aligners, or our advanced bracket systems, the team at Creekside Orthodontics is here to guide you.

We offer flexible payment plans and work with most insurance providers to ensure that a healthy smile is accessible to everyone in our community.

Ready to see what’s possible? Schedule your free, no-obligation consultation today!